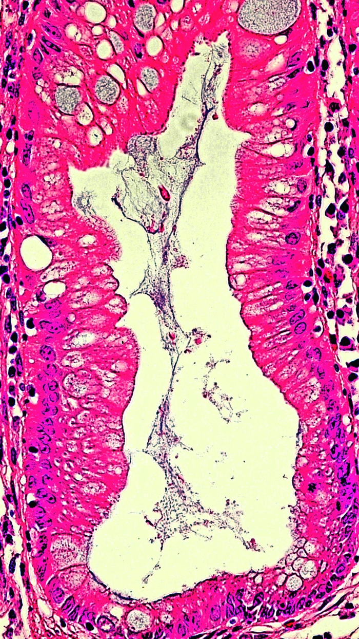
제목: 한반도 (2018)

조직소견: 대장용종

작품설명: 대장용종을 현미경으로 관찰하면 흥미로운 모습을 다양하게 볼 수 있다. 제주도를 포함한 한반도가 현미경 속에서 보인다.  

40년 가까이 병리의사로서 활동 중인 김 교수는 현미경을 통한 ‘미세(微細) 세상’에서 자신만의 시각으로 작품을 찾아내고 문학적 상상력으로 이야기를 덧씌워 누구도 흉내 낼 수 없는 독특한 작품을 만들어내고 있다.

쿠키뉴스는 김 교수의 대표작 30여점을 작가의 작품 해석과 함께 ‘쿠키인스타’를 통해 지상 전시한다.

박효상 기자 tina@kukinews.com


Fatal error: Uncaught TypeError: array_column(): Argument #1 ($array) must be of type array, null given in /webSiteSource/www/web/_compile/kuk/box/box000021.html.php:34 Stack trace: #0 /webSiteSource/www/web/_compile/kuk/box/box000021.html.php(34): array_column() #1 /webSiteSource/kodes/www/classes/Template_.php(243): include('...') #2 /webSiteSource/kodes/www/classes/Template_.php(139): Kodes\Www\Template_->_include_tpl() #3 /webSiteSource/kodes/www/classes/Template_.php(73): Kodes\Www\Template_->print_() #4 /webSiteSource/kodes/www/classes/ApiLayout.php(1250): Kodes\Www\Template_->fetch() #5 /webSiteSource/kodes/www/classes/ApiLayout.php(627): Kodes\Www\ApiLayout->boxSetting() #6 /webSiteSource/kodes/www/classes/ApiLayout.php(208): Kodes\Www\ApiLayout->makeArticleView() #7 /webSiteSource/kodes/www/classes/ApiLayout.php(90): Kodes\Www\ApiLayout->makeLayoutData() #8 /webSiteSource/kodes/www/classes/Api.php(589): Kodes\Www\ApiLayout->getLayout() #9 /webSiteSource/kodes/www/classes/Api.php(404): Kodes\Www\Api->getLayout() #10 /webSiteSource/kodes/www/classes/Article.php(89): Kodes\Www\Api->data() #11 /webSiteSource/www/classes/Article.php(11): Kodes\Www\Article->view() #12 /webSiteSource/www/classes/Index.php(328): Article->view() #13 /webSiteSource/www/classes/Index.php(66): Index->runClass() #14 /webSiteSource/www/web/index.php(26): Index->__construct() #15 {main} thrown in /webSiteSource/www/web/_compile/kuk/box/box000021.html.php on line 34