
[쿠키뉴스=김단비 기자] 심각한 당뇨합병증 중 하나인 당뇨황반부종에 레이저 조사 범위를 줄인 치료법이 기존 시술법과 동일하거나 보다 나은 치료효과를 보이는 것으로 나타났다.
당뇨황반부종이란 망막에서 시력의 90%이상을 담당하는 부위인 황반부위가 붓고 기름이 끼면서 영구적인 시력상실이 유발되는 질환이다.
안구 내 주사 치료를 우선 시행하지만 반복주사에도 불구하고 잘 가라앉지 않는 난치성 부종이 있는 경우도 있으며 이 경우에는 레이저 치료가 효과적일 수 있다.
이러한 가운데
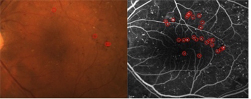
강남세브란스병원 안과 변석호 교수팀은 빛간섭단층촬영을 통해 당뇨황반부종의 직접적인 원인이 되는 미세혈관류를 찾아 선택적으로 응고시키는 치료법을 개발했다.
기존에는 일정 범위 내의 모든 미세혈관류를 레이저로 응고했으나 선택적 황반 국소 레이저 치료는 응고하는 미세혈관류를 최소화해 부작용을 줄였다는 것이 연구팀의 설명이다.
변석호 교수팀이 선택적 레이저 치료를 받은 47안과 기존 치료를 받은 31안을 비교한 결과, 치료 1년째 최대교정시력, 중심황반하두께, 최대망막두께 등의 결과에서 대등한 치료효과가 있는 것으로 나타났다. 이와 함께 망막손상의 부작용은 선택적 레이저 치료가 유의미하게 적었다.
이는 치료하는 미세혈관류의 개수가 줄었기 때문인데 선택적 레이저 치료군에서는 평균 5.6±4.0개의 미세혈관류를 치료한 반면 기존 치료군에서는 16.3±11.8개의 미세혈관류를 치료해 큰 차이를 보였다.
변석호 교수는 “당뇨황반부종의 치료에 있어 약물 주사 요법과 레이저 치료를 병행하면 최적의 치료효과를 기대할 수 있다”면서 “부작용을 줄인 선택적 레이저 치료법이 더 효과적인 당뇨황반부종 치료법으로 자리잡기를 기대한다”고 말했다. kubee08@kukimedia.co.kr